VizioDent - xray diagnostic imaging services by DentalAlex
Nota 0 din 0 recomandări
4480 vizite
Locație: Brasov, jud Brasov, B-dul Mihail Kogalniceanu Nr. 23 [Arată în Google Maps]
Telefon: 0368800080 | 0742105511
Fax: 0742105512
Program: LU-VI: 09:00-20:00
SA: 09:00-15:00
Website: http://www.viziodent.ro
- Dr. Cojocaru Ion
Radiografii intraorale digitale:
- radiografie retroalveolară
- radiografie bitewing
- radiografie ocluzală
- bilanţ radiologic
- radiografie retroalveolară excentrică
Informaţii complementare pentru diagnostic şi planificare:
- fotografii intraorale / extraorale
- set de fotografii pentru diagnostic ortodontic
- modele de studiu
Radiografii extraorale digitale:
- radiografie panoramică
- radiografie panoramică 1/2
- radiografie panoramică bitewing
- radiografie de sinusuri maxilare
Radiografii extraorale-cefalometrice digitale:
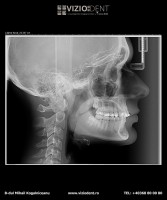
- teleradiografie laterală
- teleradiografie ant/post
Pachete de servicii pentru diagnostic şi planificare:
- Pachet start: rx panoramic + fotografii intraorale şi extraorale
- Pachet ortodontic: rx panoramic + teleradiografie laterală + fotografii intraorale şi extraorale + analiză computerizată a teleradiografiei laterale.
- Pachet estetică dentară digitală: fotografii intraorale şi extraorale + raport DSS- digital smile sistem.
- Pachet reabilitare implantară: CT 3D pentru examinare şi planificare + fotografii intraorale şi extraorale + CT 3D de control.
Computer tomograf 3D - CBCT
- CT 3D endo
- CT 3D partial
- CT 3D ATM
- CT 3D Mandibular
- CT 3D Maxilar
- CT 3D Total
- CT 3D Maxilar + sinus maxilar + ATM
- CT 3D Intreaga zona maxilo faciala 13X14,5cm
- CT 3D ORL
Toate serviciile noastre pot fi predate in urmatoarele formate:
- print
- CD
- Email
- Network viewer: stocare in baza de date online de unde puteti accesa oricand de oriunde radiografia sau tomografia pacientului.
- radiografie retroalveolară
- radiografie bitewing
- radiografie ocluzală
- bilanţ radiologic
- radiografie retroalveolară excentrică
Informaţii complementare pentru diagnostic şi planificare:
- fotografii intraorale / extraorale
- set de fotografii pentru diagnostic ortodontic
- modele de studiu
Radiografii extraorale digitale:
- radiografie panoramică
- radiografie panoramică 1/2
- radiografie panoramică bitewing
- radiografie de sinusuri maxilare
Radiografii extraorale-cefalometrice digitale:
- teleradiografie laterală
- teleradiografie ant/post
Pachete de servicii pentru diagnostic şi planificare:
- Pachet start: rx panoramic + fotografii intraorale şi extraorale
- Pachet ortodontic: rx panoramic + teleradiografie laterală + fotografii intraorale şi extraorale + analiză computerizată a teleradiografiei laterale.
- Pachet estetică dentară digitală: fotografii intraorale şi extraorale + raport DSS- digital smile sistem.
- Pachet reabilitare implantară: CT 3D pentru examinare şi planificare + fotografii intraorale şi extraorale + CT 3D de control.
Computer tomograf 3D - CBCT
- CT 3D endo
- CT 3D partial
- CT 3D ATM
- CT 3D Mandibular
- CT 3D Maxilar
- CT 3D Total
- CT 3D Maxilar + sinus maxilar + ATM
- CT 3D Intreaga zona maxilo faciala 13X14,5cm
- CT 3D ORL
Toate serviciile noastre pot fi predate in urmatoarele formate:
- CD
- Network viewer: stocare in baza de date online de unde puteti accesa oricand de oriunde radiografia sau tomografia pacientului.
Servicii oferite:
- Radiologie dentara



