CMI Dr. Sima Radu Nicolae
Zambetul este oglinda omului si orice om trebuie sa zambeasca .Nota 0 din 0 recomandări
5634 vizite
Locație: Campina, jud Prahova, B-dul Carol I Nr. 94 Bloc 148 R Ap.1 Interfon 01 [Arată în Google Maps]
Telefon: 0723228817
Program: Luni -Vineri ora 10-20
Asiguram si urgente .
Solicită o programare
Cabinetul dentar deschis in 2017 isi propune sa ofere toata gama de servicii stomatologice .
Punem accent in primul rand pe calitatea actului medical incercand in acelasi timp sa il oferim la preturi cat mai accesibile pacientilor nostrii.
Punem accent in primul rand pe calitatea actului medical incercand in acelasi timp sa il oferim la preturi cat mai accesibile pacientilor nostrii.
Servicii oferite:
- Stomatologie generala
- Parodontie
- Pedodontie
- Implantologie
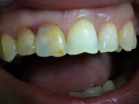
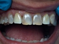
- Estetica dentara
- Chirurgie dento-alveolara
- Endodontie
- Protetica
- Odontologie

