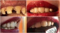
CMI Dr. Ingrid Dumitresc
Vă oferim Consultație și plan de tratament GRATUITE !Nota 10 din 1 recomandări
    2450 vizite
Locație: Hateg, jud Hunedoara, Str. Morii nr.4         [Arată în Google Maps]    
    Telefon: 0724284667 
        Program: Luni 9-13
Marti 10-19
Miercuri 9-13
Joi 15-19
Vineri 9-13
        Website: https://web.facebook.com/dringriddumitresc/
    - Dr. Ingrid Dumitresc
      	Vă oferim Consultație și plan de tratament GRATUITE in Hateg dar si in Salasu de Sus.      
          
          
          
            
          
          
          
      	        Recomandări
10
                a votat pe 04-02-2017 cu nota 
                Beniamin Adinel
                
				Ultima vizita la cabinet: februarie 2017
                                	Stomatolog recomandat: Ingrid Dumitresc
				                
„Un medic in plina ascensiune profesionala, cu pasiune, daruire si profesionalism ! Recomand cu incredere!”
                
             
    
 
             
             
             
            

